急性腎損傷 (AKI) 是一種常見的臨床綜合征,發病率和死亡率都很高。多能干細胞的使用對治療AKI具有很大的前景。尿源干細胞 (USC) 是細胞療法和再生醫學中一種新型且用途廣泛的細胞來源,具有非侵入性、簡單和低成本的優勢,并且具有很高的多分化潛力。這些細胞是否可以作為治療AKI的潛在干細胞來源尚未確定。
尿液中也有干細胞?同時還能為急性腎損傷的治療提供新思路
近日,重慶市人民醫院普通外科在期刊雜志《世界干細胞雜志》上發表了一篇“Therapeutic potential of urine-derived stem cells in renal regeneration following acute kidney injury: A comparative analysis with mesenchymal stem cells”的文章。

文章綜述表明尿液干細胞 (USC) 可顯著增強患有甘油誘發急性腎損傷 (AKI) 小鼠的腎功能和組織學恢復。通過將USC與骨髓間充質干細胞進行比較,該研究突出了尿液干細胞作為AKI治療的新型非侵入性細胞來源的潛力。研究結果表明,尿液干細胞通過其多分化潛能和分泌各種細胞因子和生長因子,為AKI提供了一種有前途的治療策略,有可能改變腎臟修復的臨床方法。
什么是急性腎損傷
急性腎損傷 (AKI) 是一種復雜的綜合征,其特征是腎功能迅速下降。盡管重癥監護和透析方法有所改進,但心臟病和膿毒癥的發病率仍在上升,導致與AKI相關的死亡率和發病率持續居高不下。這種令人擔憂的趨勢可以歸因于人口老齡化,這帶來了額外的挑戰。
腎小管損傷通常被視為與AKI相關的首要病理改變。AKI患者的預后很大程度上取決于壞死腎小管上皮細胞的有效再生。

近年來,人們探索了新方法來幫助恢復腎小管上皮細胞。一種潛在的方法是利用干細胞或祖細胞,例如胚胎干細胞 (ESC)、骨髓間充質干細胞 (BMSC)、源自人羊水的干細胞 (hAFSC) 和誘導性多能干細胞 (iPSC),以恢復腎臟功能。ESC為細胞替代療法提供了無限的儲存庫;然而,由于圍繞胚胎使用的倫理問題,它們的使用陷入了爭議。
因此,研究人員繼續探索新的、侵入性較小的細胞來源以供應用。從尿液中分離出來的尿源干細胞 (USC) 具有很強的增殖能力。由于尿源干細胞具有非侵入性采集和強大分化潛力的優勢,因此引起了廣泛研究關注。USC已證實可用于治療膀胱功能障礙和基于細胞的泌尿組織再生。USC具有分化潛力,可能成為治療腎臟疾病的一種有前途的選擇。
在這項研究中,我們研究了尿源干細胞是否可以作為潛在的干細胞來源,以改善無免疫能力的嚴重聯合免疫缺陷 (SCID)小鼠中甘油注射引起的AKI的腎功能和組織結構。此外,我們的目標是評估尿源干細胞與人類BMSC相比的再生能力。
方法:從人羊水中分離具有多分化潛能的干細胞標志物。通過甘油肌肉注射誘導AKI重度聯合免疫缺陷(SCID)小鼠模型。從人尿中分離的USC通過尾靜脈注射。通過血尿素氮和血清肌酐水平評估腎臟的功能變化。同時,我們比較了USC與骨髓間充質干細胞(MSC)的再生潛力。
尿源干細胞治療急性腎損傷的結果
尿源干細胞具有多向分化潛能
通過使用特定的分化培養基,成功將USC分化為骨細胞、脂肪細胞和軟骨細胞。分化后的細胞表現出不同的表型特征,如圖1所示。ALP染色證實了成骨分化(圖1A),而油紅O染色可觀察到細胞內脂質囊泡,從而證實了脂肪分化(圖1B)。通過阿爾新藍染色觀察到顆粒狀USC中的軟骨分化,證實了透明質酸和唾液酸粘蛋白的表達(圖1C)。

A :第7天用堿性磷酸酶染色檢測到代表性的成骨作用;
B:第21天用油紅O染色細胞內脂質囊泡觀察到代表性的成脂分化;
C:第28天用阿爾新藍染色檢測到代表性的軟骨分化。
尿源干細胞對急性腎損傷小鼠的改善影響以及與骨髓間充質干細胞療效的比較
如前所述,通過甘油注射誘導實驗性AKI,研究了USCs對改善AKI后腎功能和組織學結構的潛在有益作用。注射甘油后,血清肌酸酐(SCr)和血尿素氮(BUN)水平升高,在72小時達到峰值,并在第18天恢復正常之前的10天內維持升高狀態。AKI誘導三天后,通過尾靜脈給小鼠靜脈注射5×105USCs或BMSCs加入200μLPBS,而對照組動物只接受PBS。實驗時間表如圖2所示。動物在AKI誘導后第3、5、9和18天安樂死。

實驗時間表說明了使用甘油誘導急性腎損傷的方案,以及涉及尿源干細胞或骨髓間充質干細胞的治療方案。在時間0時,肌肉內注射甘油。第三天的箭頭表示僅注射500000個細胞或載體。以下箭頭表示處死受試者的指定時間點。
AKI手術后72小時內,三組小鼠的血清肌酐和BUN濃度(均提示腎功能不全)逐漸升高。與對照組小鼠相比,接受USC注射的小鼠從第5天(治療后48小時)開始肌酐顯著降低,并在整個實驗期間持續降低(圖3A)。此外,USC治療早在第5天就使BUN水平恢復正常(圖3B)。使用USC觀察到的功能恢復與通過輸注BMSC實現的功能恢復相當。這項研究的結果表明,尿源干細胞還具有保護腎臟免受急性腎損傷有害影響的額外益處。

A和B:通過測量肌酐水平(A)和血尿素氮(BUN)水平(B)來評估腎功能的變化。注射甘油后,肌酐水平從第三天開始上升。然而,在注射尿源干細胞或骨髓間充質干細胞的小鼠中,肌酐水平在注射后48小時內降至接近基線水平,并在實驗期間保持穩定。
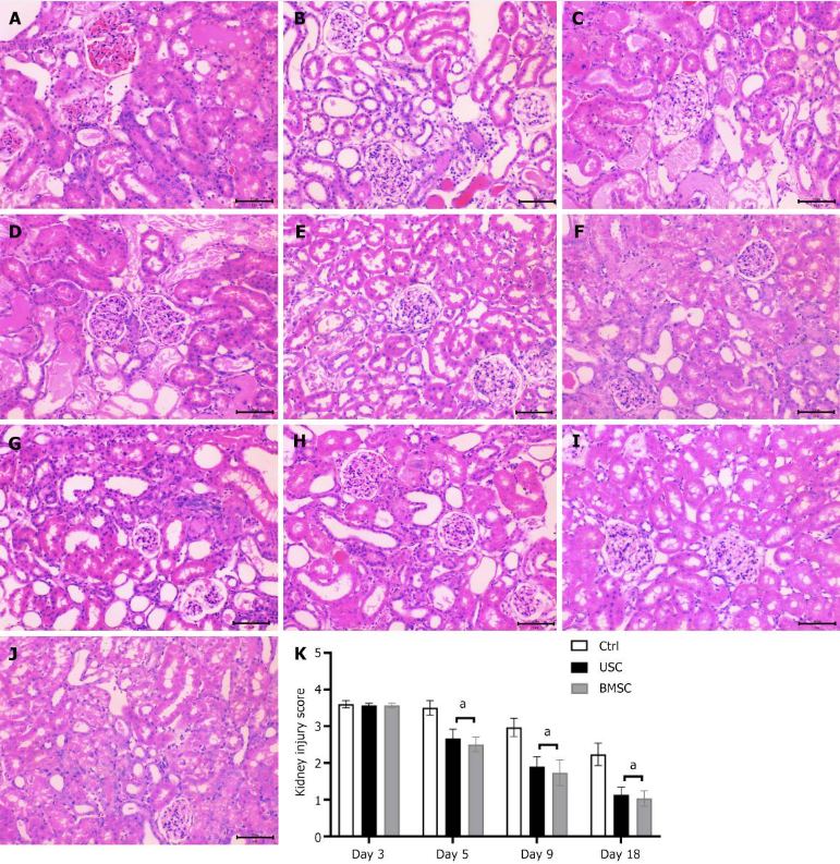
受傷后第3天,對注射甘油的SCID小鼠的腎臟進行組織學檢查,發現上皮損傷以腎小管壞死和腎小管上皮細胞空泡化為特征。此外,近端腎小管細胞出現刷狀緣和腎小管內蛋白管型的丟失(圖4A)。與未治療的對照組相比,施用USC或BMSC的小鼠組織損傷顯著減少。在注射甘油后第5天(干細胞注射后48小時),與未治療的對照組小鼠相比,用USC(圖4B)或BMSC(圖4C)治療的小鼠組織損傷減少(圖4D)。到第9天,與未治療的動物(圖4G)相比,接受USC或BMSC的小鼠腎臟結構幾乎正常(圖4E和F) 。到第18天,所有實驗組均恢復正常組織學(圖4H-J)。

為了評估注射USC的動物腎臟組織的再生反應,我們通過腎臟損傷評分量化了上述發現。該評分表明,與未接受治療的對照小鼠相比,注射USC和BMSC的小鼠腎臟結構的損傷和恢復顯著減少(圖4K)。然而,USC和BMSC組之間沒有顯著差異。表1顯示了AKI誘發后第5天的形態測量評估,比較了注射或未注射USC或BMSC的AKI小鼠的損傷情況。與未經治療的AKI小鼠相比,注射干細胞的小鼠含有管型的小管數量明顯較少,壞死的小管數量也較少。注射USC的小鼠和注射BMSC的小鼠之間沒有顯著差異。

a尿液來源的干細胞注射與未治療的急性腎損傷相比,P<0.05。
b骨髓間充質干細胞注射與未治療的急性腎損傷相比,P<0.05。
體外USC和BMSC分泌的血管生成相關蛋白
在USCs和BMSCs培養上清中檢測到了20多種血管生成相關蛋白,例如雙調蛋白、肝細胞生長因子、胰島素樣生長因子結合蛋白-1、轉化生長因子-β等(圖5A和8B)。結果顯示,一些血管生成相關蛋白,包括血管生成素、膠原蛋白XVIII、EG-VEGF、血小板反應蛋白-1和uPA,在USC中的表達明顯高于在BMSCs中。

A :尿液來源干細胞(USCs)分泌血管生成生長因子的結果;
B:骨髓間充質干細胞(BMSCs)分泌血管生成生長因子的結果;
C:使用Student’s t檢驗對USCs和BMSCs的分泌水平進行統計分析:aP<0. 05,尿液來源干細胞vs骨髓間充質干細胞。
討論
本研究證實,尿液來源干細胞治療能夠改善嚴重聯合免疫缺陷小鼠急性腎損傷恢復期的腎臟功能和組織結構。與對照組相比,尿液來源干細胞治療組的血清肌酐 (SCr) 和血尿素氮 (BUN)水平明顯降低,Paller腎小管損傷評分降低,活躍分裂細胞數量增加,凋亡細胞數量減少。在我們進一步的研究中,一些抗炎因子的表達水平顯著上調,纖維化因子的表達水平與對照組相比顯著降低。
很多研究者試圖探究間充質干細胞移植治療急性腎損傷的機制,可能的機制主要集中在兩個方面:
- 第一,外源性的MSCs歸巢到腎臟損傷部位,增殖并轉分化為腎小管等細胞。在一些研究中,研究者發現很多移植細胞被植入到受損組織中。
- 第二,外源性BMSCs分泌的細胞因子在減輕炎癥、促進腎臟損傷修復中起著至關重要的作用。在眾多的細胞因子中,炎性細胞因子的產生被認為是AKI發生和發展的關鍵因素。MSCs的作用主要通過復雜的旁分泌作用介導,包括有益因子的分泌和信號蛋白的激活。
干細胞的旁分泌/內分泌作用得到以下證據的支持:先前的一項研究闡明了脂肪來源的干細胞治療在損傷后早期和晚期改善功能參數和減弱腎臟纖維化進展的潛力。
結論
總之,本研究顯示,尿液來源干細胞改善了急性腎損傷恢復過程中的腎功能和組織結構。尿液來源干細胞的治療效果主要歸因于其抗凋亡和促有絲分裂特性,以及其對細胞因子產生的影響。使用尿液來源干細胞治療I/R損傷所取得的積極成果強烈表明,它們有可能成為治療腎臟疾病的一種非常合適的干細胞選擇。
參考資料:Li F, Zhao B, Zhang L, Chen GQ, Zhu L, Feng XL, Gong MJ, Hu CC, Zhang YY, Li M, Liu YQ. Therapeutic potential of urine-derived stem cells in renal regeneration following acute kidney injury: A comparative analysis with mesenchymal stem cells. World J Stem Cells 2024; 16(5): 525-537
URL: https://www.wjgnet.com/1948-0210/full/v16/i5/525.htm
DOI: https://dx.doi.org/10.4252/wjsc.v16.i5.525
免責說明:本文僅用于傳播科普知識,分享行業觀點,不構成任何臨床診斷建議!杭吉干細胞所發布的信息不能替代醫生或藥劑師的專業建議。如有版權等疑問,請隨時聯系我。
掃碼添加官方微信